


A fenti képen az alsó fogazat alakulása figyelhető meg amely 11 hónapig tartott.

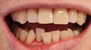
Előtte
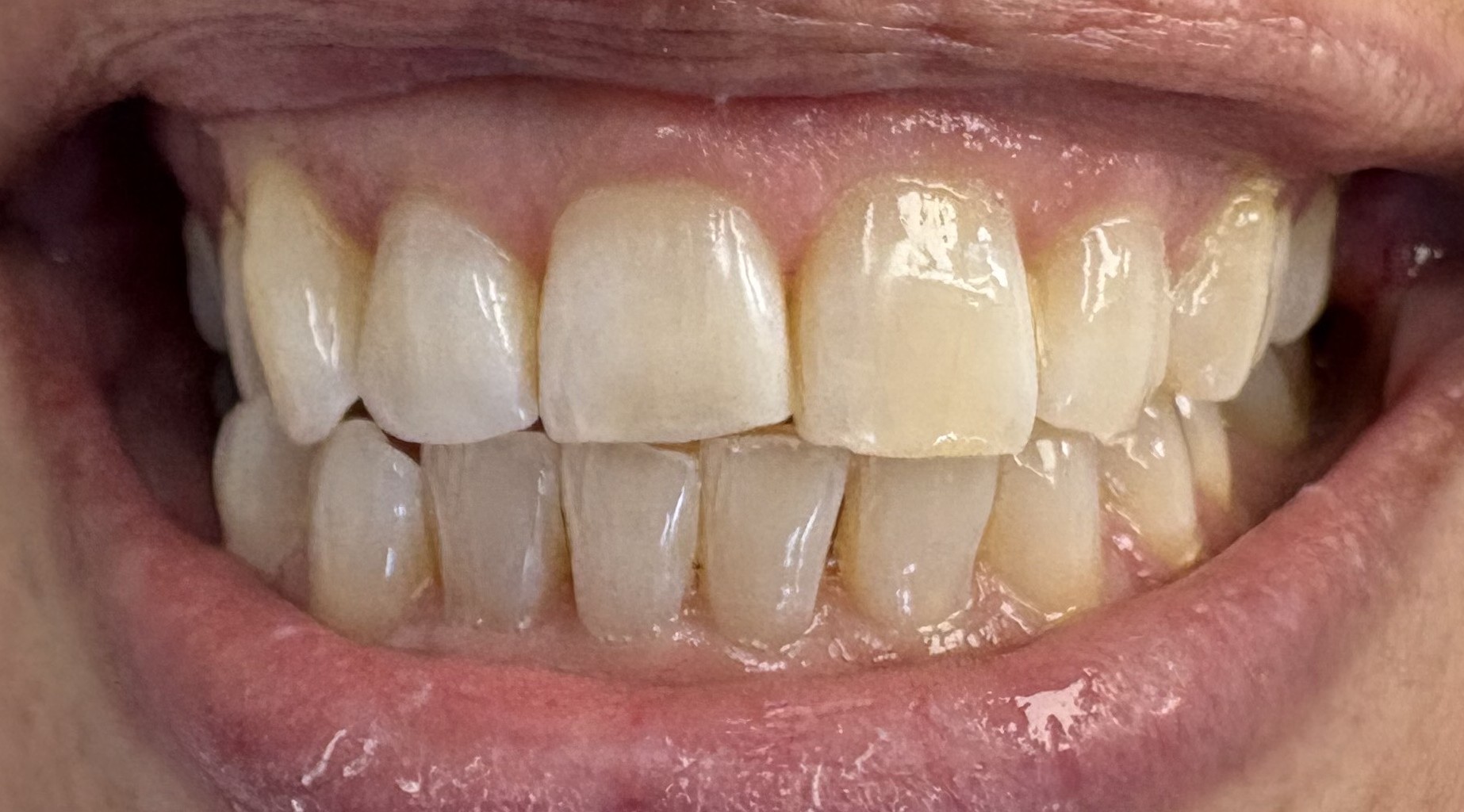
A fenti kép egy alsó és felső 10 hónapos kezelést megelőző állapot.

Utána
A fenti kép a 10 hónappal későbbi eredményt mutatja be

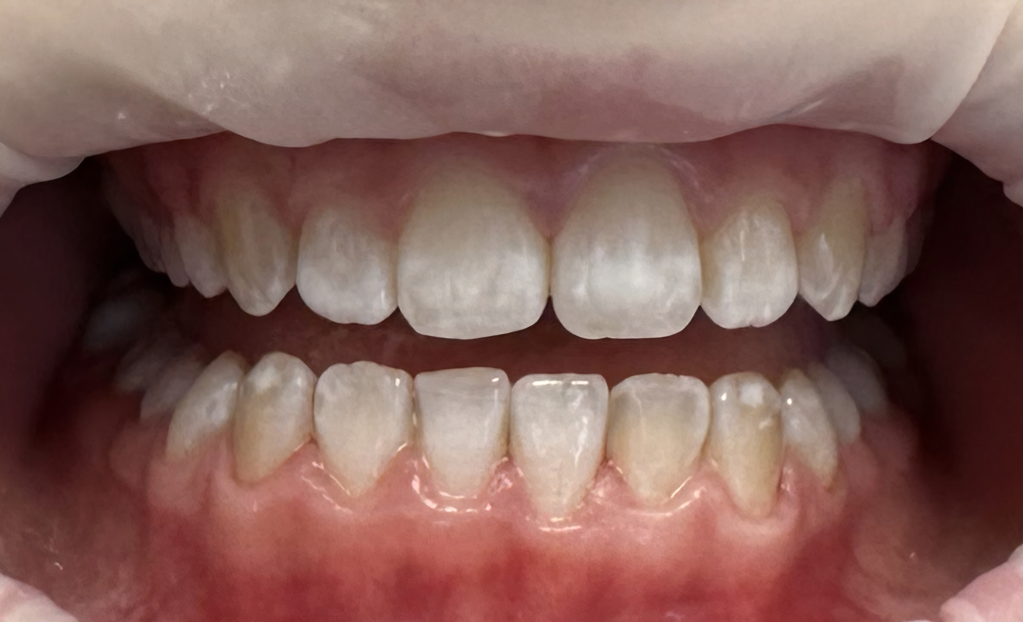
Előtte

Utána (12 hónap)

Fogszabályzót szeretnél?
Jelentkezz be hozzánk ingyenes nyílt napunkra, ahol megtudhatod a láthatatlan fogszabályzó előnyeit.
Tel: 06304862273
Mit tartalmaz a nyílt nap?
Első alkalommal
- ingyenes konzultációt és állapotfelmérést
- ingyenes digitális lenyomatvételt intraoral scannerrel
Második alkalommal
- ingyenes kezelési tervet a kezelés lezárásáig
- ingyenes mosolytervezést, fogszabályozás tervezést 3D szoftverben, ahol megtekintheted a végeredményt, mielőtt belevágnál
-ingyenes fogmozgatási tervet
Ahogy a nevében is benne van, ez a fogszabályozó szinte észrevehetetlen. Képzeld el: prezentálás közben, vagy fontos megbeszéléseken hordhatod, anélkül, hogy bárki észrevenné. Mosolyoghatsz bátran és büszkén, mert nem kell aggódnod a kínos pillantások miatt. Pácienseink visszajelzései alapján beszélgető partnereik ritkán veszik észre mi rejlik a mosolyuk mögött.
A gyors és pontos eredmény eléréséhez ajánlott hordási idő (napi 22-23 óra) betartásával az átlátszó sínek a fogaidat nagyon rövid idő alatt a kívánt irányba állítják. Bizonyítottan gyorsabb, mint a rögzített megoldás.

A három dimenziós CAD-CAM technológiával tervezett fogmozgatás minden apró részletre kiterjed. A láthatatlan készülék rendkívüli pontossággal képes az erőátvitelre a fogaidon, ami így a legoptimálisabb eredményt hozza.

A teljes kezelés számítógépen, három dimenzióban előre megtervezett. A sínt maximum kéthetente -az eseted és az együttműködésed függvényében-, akár 10 naponta kell cserélned. Minden esetben a hatásában az előbbire épülő, de további mozgatást lehetővé tevő sín következik, egészen a tervezett végeredmény eléréséig. A hordási időt z orvosod állítja be megfelelően.
A sín kivehető, tisztítható (fogkrémmel-fogkefével átsikálva, fogszabályozó tisztító pezsgőtablettába áztatva). Az egész kezelés alatt a fogtisztítás a megszokott rutin szerint történik, tehát nem kell változtatnod fogmosási szokásaidon. Ezáltal még az étkezések is a megszokott módon zajlanak a kezelés végéig, nem kell lemondanod a kedvenc ételeidről sem.
A ragasztott fogszabályozók magukban hordozzák a fogszuvasodás veszélyét, hiszen, ha nem tudod megfelelően tisztítani a felragasztott bracket-eket, fogaid elszíneződhetnek, szuvasodhatnak. A sínek alkalmazása mellett a fogtisztítási szokásaid megtartásával, a fogselyem rendszeres használatával könnyen megőrizheted fogaid egészségét.
A kezelés költségét már a kezelési terv elkészítésekor láthatod. A szükséges sínek számából egyszerűen kiszámítható, így váratlan kiadások nem fognak felmerülni a kezelési idő alatt.
legújabb DPA technológia
Könnyebb és hatékonyabb tisztítást kínálnak: az alignerek simán tisztíthatóak fogkefével és fertőtleníthetőek forró vízben. Gyorsabb és hatékonyabb kezelést biztosítanak: pontos fogmozgatási képességüknek köszönhetően, hátrafelé is mozgatják a fogakat és akár 35°-ig forgatják el őket. Kényelmesebb és fájdalommentesebb viseletet nyújtanak: a speciális alakmemória-polimer révén az alignerek rugalmasak maradnak még forró víz után is, így a fogakra való felhelyezés még kényelmesebb.
Környezetbarát gyártási folyamatot alkalmazunk: kevesebb anyagfelhasználással és minimális hulladékkal csökkentjük a szén-dioxid kibocsátást.
Lépj szintet és válaszd a Hunyadi Dentalt
Jelentkezz be: 06304862273










