
Előtte

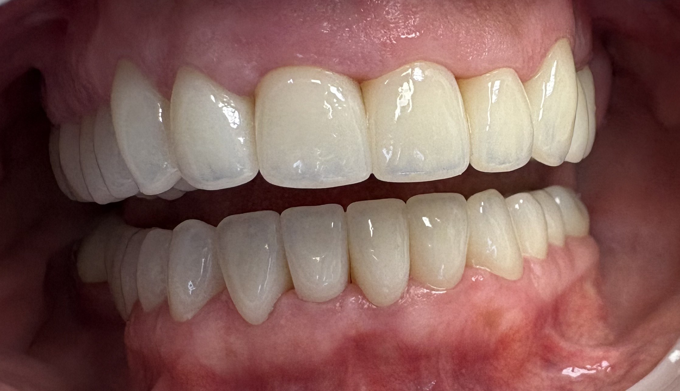
utána

utána

Koronák, Hidak -
előnyei :
- minden esetben digitális lenyomatot veszünk oralscannerrel
- fémmentes anyagaink esetén nem engedjük, hogy a beteg preparált fogakkal távózzon a rendelőből, az ár tartalmazza az azonnal készülő ideiglenes pótlást, melyet a preparáció után azonnal felragasztunk a páciensnek és ezáltal nem lép fel fogérzékenység, elmozdulás, preparációs gyulladás, és a beszéd sem akadályozott.
- vállas preparálást alkalmazunk
- legalább három alkalommal próbálunk egy készülő fogpótlást
1. próba: széli záródás ellenőrzése, re-scan, fotók
2. próba : kényelem, fogforma, méret, fogszín adaptáció a páciens abszolut közreműködtetésével.
3. próba / kész: a kész munka is előzetesen próbaképp kerül a helyére, ezt csak a közös elégedettségünk esetén ragasztjuk véglegesen.
Nacera Q3 Multishade

Nacera Pearl Natural

Straumann Nice Zirkónia XT

Cirkónium dioxid - Kerámialeplezés nélkül

Inlay, Onlay - Indirekt Esztétikus Restaurációk
Preparációt követően digitális lenyomatot veszünk intraoral scannerrel, melyet 3D nyomtatással elkészítünk
Straumann NICE - tisztán kerámia - Cad Cam tervezéssel és faragással készül, ezt direkt ragasztjuk be a tömés helyére.
Tömések - Direkt Esztétikus Restaurációk
A TOKUYAMA DENTAL optimálisan összehangolt termékeket kínál Önnek a kiváló minőségű kompozit fogtömésekhez - az esztétikus és tartós eredmények mércéjét a fogtömések terápiájában.
ASTERIA
A vezető gyártó és technológiai úttörő a fénykeményedő szubmikro-töltő kompozitok területén. Ez a különleges kompozittípus kiemelkedő esztétikájú, megbízható és felhasználóbarát, egyedi fogpótlásokat tesz lehetővé.
OMNICHROMA - egy kompozit szín, amely alkalmazkodik
Fogászati kompozitjaink számos díjat nyertek a kompozit gyantaanyagok területén - ideértve a univerzális kompozitokat is, például az OMNICHROMA anyagot, mellyel forradalmi lépést tett a kompozit tömések területén.
A TOKUYAMA DENTAL kompozit fogtöméseinek előnyei:
✔ Egyedi kaméleonhatás a gömb alakú szubmikro-töltőanyagoknak köszönhetően
✔ Tökéletes és tartós esztétika
✔ Optimális kezelhetőségi tulajdonságok, polírozás, opaleszcencia, translucencia
✔ Kiemelkedő fizikai tulajdonságok, polírozás, kopásállás, széli záródás, csillogás

Indikációk
✔ Frontfog- és oldalsófog-régió
✔ Kompozit leplezések
✔ Diastema lezárása
✔ Kompozit/kerámiajavítás
Koronák, Hidak -
előnyei :
- minden esetben digitális lenyomatot veszünk intraoral scannerrel
- fémmentes anyagaink esetén nem engedjük, hogy a beteg preparált fogakkal távózzon a rendelőből, az ár tartalmazza az azonnal készülő ideiglenes pótlást, melyet a preparáció után azonnal felragasztunk a páciensnek és ezáltal nem lép fel fogérzékenység, elmozdulás, preparációs gyulladás, és a beszéd sem akadályozott.
- vállas preparálást alkalmazunk
- legalább három alkalommal próbálunk egy készülő fogpótlást
1. próba: széli záródás ellenőrzése, re-scan, fotók
2. próba : kényelem, fogforma, méret, fogszín adaptáció a páciens abszolut közreműködtetésével.
3. próba / kész: a kész munka is előzetesen próbaképp kerül a helyére, ezt csak a közös elégedettségünk esetén ragasztjuk véglegesen.
Nacera Q3 Multishade

Nacera Pearl Natural

Straumann Nice Zirkónia XT

Cirkónium dioxid - Kerámialeplezés nélkül

Inlay, Onlay - Indirekt Esztétikus Restaurációk
Preparációt követően digitális lenyomatot veszünk intraoral scannerrel, melyet 3D nyomtatással elkészítünk
Straumann NICE - tisztán kerámia - Cad Cam tervezéssel és faragással készül, ezt direkt ragasztjuk be a tömés helyére.
Gradia - nagy mennyiségben kerámia töltőanyagot tartalmaz - művileg készíti el a mintán a technikus, direkt ragasztjuk.
Előnye: nincs hosszantartó szájnyitás, beállítások, nem kell izolálni, preparációt csak a ragasztás követi.
Hátránya: nehezebb a fogszín kialakítása, drágább mint a direkt tömés, és két ülésben készül el.