A TOKUYAMA DENTAL optimálisan összehangolt termékeket kínál Önnek a kiváló minőségű kompozit fogtömésekhez - az esztétikus és tartós eredmények mércéjét a fogtömések terápiájában.
ASTERIA
A vezető gyártó és technológiai úttörő a fénykeményedő szubmikro-töltő kompozitok területén. Ez a különleges kompozittípus kiemelkedő esztétikájú, megbízható és felhasználóbarát, egyedi fogpótlásokat tesz lehetővé.
OMNICHROMA - egy kompozit szín, amely alkalmazkodik
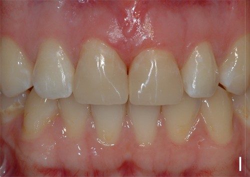
Fogászati kompozitjaink számos díjat nyertek a kompozit gyantaanyagok területén - ideértve a univerzális kompozitokat is, például az OMNICHROMA anyagot, mellyel forradalmi lépést tett a kompozit tömések területén.
✔ Egyedi kaméleonhatás a gömb alakú szubmikro-töltőanyagoknak köszönhetően
✔ Tökéletes és tartós esztétika
✔ Optimális FélkövérGyorsbillentyű Ctrl+B kezelhetőségi tulajdonságok, polírozás, opaleszcencia, translucencia
✔ Kiemelkedő fizikai tulajdonságok, polírozás, kopásállás, széli záródás, csillogás
✔ Frontfog- és oldalsófog-régió
✔ Kompozit leplezések
✔ Diastema lezárása
✔ Kompozit/kerámiajavítás
A TOKUYAMA DENTAL kompozit fogtöméseinek előnyei:
✔ Egyedi kaméleonhatás a gömb alakú szubmikro-töltőanyagoknak köszönhetően
✔ Tökéletes és tartós esztétika
✔ Optimális kezelhetőségi tulajdonságok, polírozás, opaleszcencia, translucencia
✔ Kiemelkedő fizikai tulajdonságok, polírozás, kopásállás, széli záródás, csillogás
