A fogászati kezelések kapcsán, a fogorvostól való félelem mellett a páciensek másik legnagyobb félelme a fájdalom átélése. A beteg fog miatt való rettegés annyira meghatározóvá válik, hogy az ellenőrzést, sőt az olyan egyszerű beavatkozásokat is halogatják, mint a lyukas fog betömése.
Így a kezdetben még egy egyszerű töméssel kezelhető problémából idővel egy sor kellemetlenség adódik, pedig a fájdalom 100%-ban elkerülhető az idejében, helyi érzéstelenítés mellett végzett fogászati kezelésekkel.
Mire számíthatunk tehát, ha nem fordulunk időben fogorvoshoz, milyen érvek szólnak a gyökérkezelés mellett, és mitől lehet biztonságos és sikeres egy gyökérkezelés?

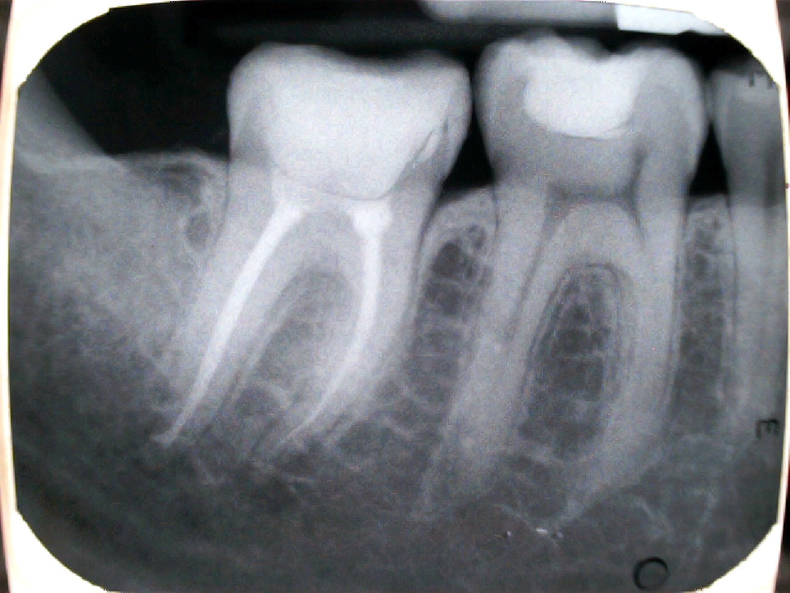
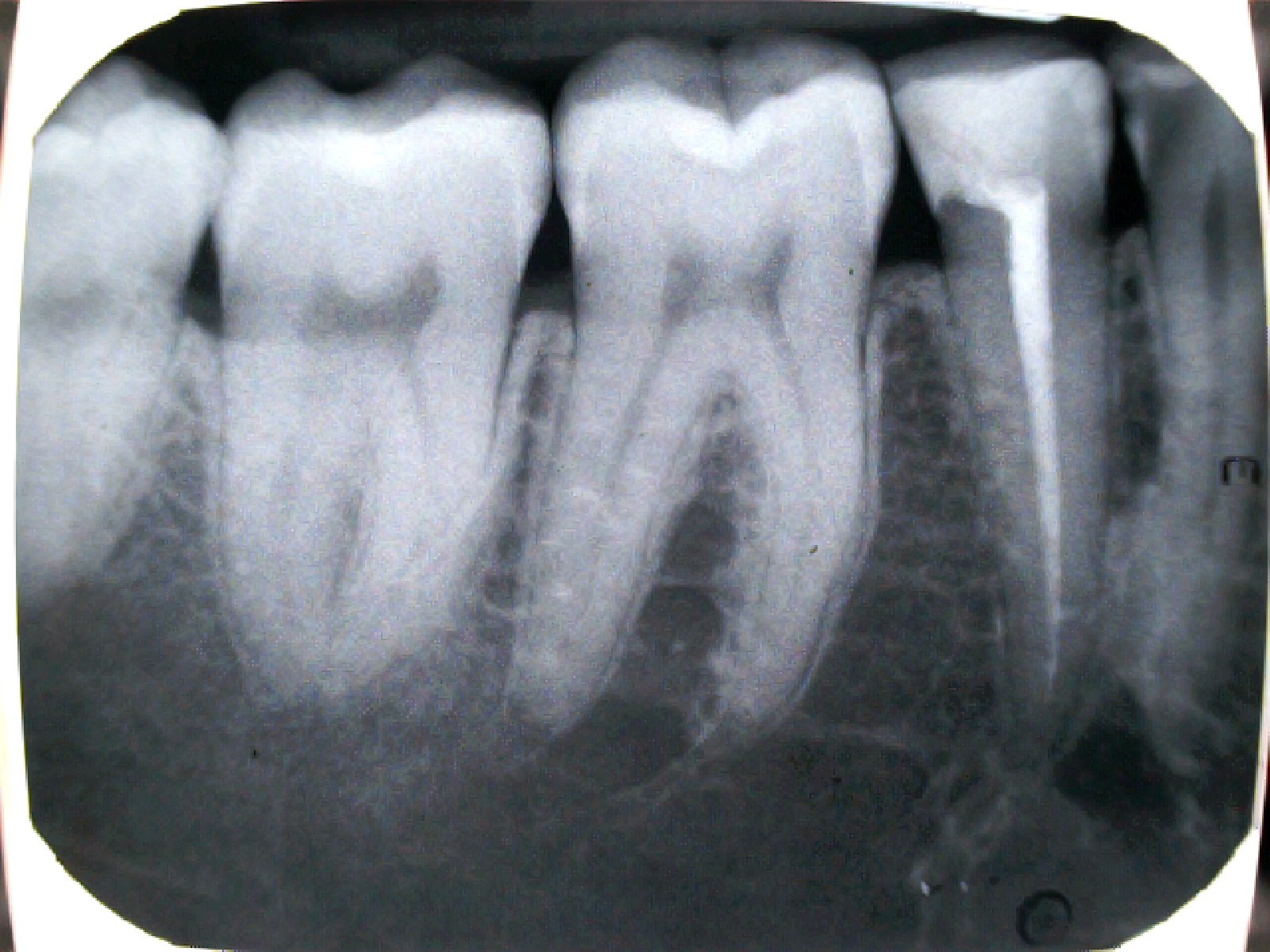
A fogak gyökérkezelését jellemzően akkor végezzük, ha a fogszuvasodás a zománcot és a dentint, azaz a kemény fogállományt is elpusztítva eljutott a fogbélig és ott gyulladást idézett elő.
A foggyulladást általában igen kínzó, nehezen csillapítható fogfájdalom kíséri, hiszen amíg a zománc és a dentin nagy részét szervetlen, idegpályák nélküli anyag teszi ki, addig a fogbél, a sejtek és erek mellett azokat az idegeket is tartalmazza, amelyek a fájdalmat közvetítik az agy felé.
Ha tehát a szuvasodást nem állítjuk meg, mielőtt a pulpa begyullad, akkor ebben az esetben a folyamat már nem lesz visszafordítható, a fájdalom megszüntetése és a fog megmentése csak gyökérkezeléssel lehetséges.
Megelőzheted a foghúzást és elkerülheted a fogpótlást vagy az implantátum beültetését.
A sokak számára csak fog idegelés néven ismert beavatkozás teljesen fájdalommentes és mára ugyanolyan rutineljárás, mint az esztétikus tömés.
Modern digitális eszközök (digitális apex lokátor és gépi tágítás) és kiváló minőségű anyagok állnak rendelkezésünkre, ezáltal tudatosan elkerüljük a lehetséges általunk okozható hibaforrásokat.





Hogyan lehet sikeres a gyökérkezelés:
Ha fájdalommentes
Pre-endodontális restauráció
Óvatosság, elővigyázatosság, gyakorlat
Hibalehetőségek tudatos elkerülése a munka során
Műszeres csatornameghatározás
Biztonságos kémiai átöblítési protokoll
Gépi megchanikai csatornatágítás
Új kézi eszközök használata
Felszereltség
Fogpótlással helyreállított okklúzió
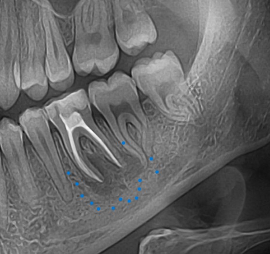
Leggyakoribb orvosi hiba lehetőségek:
Álút képződés
Perforáció (fenti kép)
Túltömés
Alultömés
Lépcsőképződés
Tű-törése (fent)
Feltáratlan gyökércsatorna (fent)
Rosszul záró/nagy kiterjedésű tömés
Anatómiai okok a sikertelenség esetén:
Elmeszesedett csatorna
Kialakult endo-parodontális lézió
Elhúzódó/ abbahagyott kezelés

Gyökérkezelés első fázisa
Megnyitás,erek idegek eltávolítása
Kémiai kezelés (átöblítés )
Csatornák hosszmeghatározása
Gépi tágítás (óvatos)
Gyógyszeres lezárás (1-2 hét)
Ideiglenes tömés

Gyökérkezelés második fázisa
Gépi tágítás munkahosszra
Kémiai kezelés (átöblítések)
Gyökértömés

Végső tömés/ Pótlás